AVW15

Virtual Application Guide

Make the most of your Advanced Visualization Workspace with real time, context based training.

Virtual Application Guide content is available in English and French only. Localized Instructions for Use are in the Online Help.

  • Overview
  • Workflow
  • Documents
  • Instructions for use

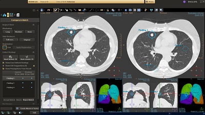
Lung Nodule Assessment


For diagnostic use and low-dose CT lung cancer screening

Summary


Enables review and analysis of thoracic CT images, providing segmentation, quantification and characterization of physician-indicated lung nodules.
The application can be used in both diagnostic and screening evaluations, supporting Low Dose CT Lung Cancer Screening.

Benefits

  • Automatic lung and lobes segmentation and one click 2D and 3D nodule segmentation.
  • Supports LungRADS categorization , Fleischner Society guidelines for incidental findings as well as a Risk Calculator tool.
  • Pre-filled data including characteristics for each nodule in configurable presets are provided automatically by the application.
  • Lung and nodule segmentations can be shared as RT Structures.

Workflow videos offer examples of a real life case based on the application you're currently using.

Documents include printable white papers, articles, brochures, user manuals, etc. that provide valuable information about the application.

This section contains printable tutorials that provide complete instructions for individual applications.