AVW15

Virtual Application Guide

Make the most of your Advanced Visualization Workspace with real time, context based training.

Virtual Application Guide content is available in English and French only. Localized Instructions for Use are in the Online Help.

  • Overview
  • Instructions for use

CaasTM


Summary


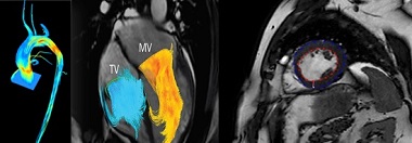
MR Caas 4D Flow is a post-processing software solution that enables users to generate 3D volume reconstructions for MR datasets, to visualize and evaluate blood flow in cardiovascular structures, including heart valves, chambers, and vessels, based on cardiovascular MR 4D Flow imaging.

Benefits

  • 4D Flow ArteryTM enables to construct a 3D volume of a (cardio)-vascular structure. The software provides multiple options for visualization of blood flow, which can be visualized by streamlines, time-resolved 3D pathlines, or as color coded vectors
  • 4D Flow HeartTM used to visualize and measure flow in the heart chambers and over all four heart valves during the heart cycle. The blood flow can be visualized by streamlines over the heart valves.
  • MR Caas StrainTM quantifies myocardial strain in the left ventricle using short- and long axis SSFP images. Strain is used to describe the myocardium deformation- such as shortening, thickening and lengthening- during the cardiac cycle.

This section contains printable tutorials that provide complete instructions for individual applications.