AVW15

Virtual Application Guide

Make the most of your Advanced Visualization Workspace with real time, context based training.

Virtual Application Guide content is available in English and French only. Localized Instructions for Use are in the Online Help.

  • Overview
  • Workflow
  • Instructions for use

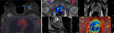
DynaCAD


Summary


The integration of DynaCAD Breast and DynaCAD Prostate into Advanced Visualization Workspace offers dedicated workflows for diagnosis and treatment planning of breast and prostate cancers in a single advanced visualization solution with comprehensive clinical capabilities.

Benefits

  • Results are automatically incorporated into standardized reports.
  • The DynaLOC Breast Interventional Planning software module offers visual guidance for planning MR-guided breast biopsy procedures.
  • Single-click volume analysis, and lesion statistics, and histograms as well as color overlay based on diffusion ADC values.
  • Prostate lesions are assessed using the PIRADS v2 scoring and incorporated into standardized reports. Lesions identified and marked on the system can be passed to a UroNav system for MR/Ultrasaund fusion biopsy.

Workflow videos offer examples of a real life case based on the application you're currently using.

This section contains printable tutorials that provide complete instructions for individual applications.