AVW15

Virtual Application Guide

Make the most of your Advanced Visualization Workspace with real time, context based training.

Virtual Application Guide content is available in English and French only. Localized Instructions for Use are in the Online Help.

  • Overview
  • Workflow
  • Documents
  • Instructions for use

Longitudinal Brain Analysis


Gain an optimized view of the body’s most complex organ

Summary


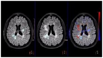
Supports the visualization of brain images for the evaluation and monitoring of changes across multiple time points. The application performs automatic registration between studies and provides semi-automatic segmentation and editing tools for volumetric measurement of brain lesions.

Benefits

  • The Comparative Brain Imaging feature uses bias field-correction, intensity scaling, image registration and mathematical subtraction to provide color-coded images highlighting subtle brain changes over time.

Workflow videos offer examples of a real life case based on the application you're currently using.

Documents include printable white papers, articles, brochures, user manuals, etc. that provide valuable information about the application.

This section contains printable tutorials that provide complete instructions for individual applications.