AVW15

Virtual Application Guide

Make the most of your Advanced Visualization Workspace with real time, context based training.

Virtual Application Guide content is available in English and French only. Localized Instructions for Use are in the Online Help.

  • Overview
  • Workflow
  • Quick steps
  • Documents
  • Instructions for use

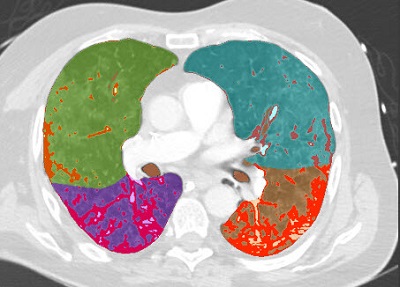
COPD


Quantify diffuse lung disease

Summary


CT COPD helps visualize and quantify the destructive process of diffuse lung disease (e.g. emphysema). The application provides a guided workflow for airway analysis, reviewing and measuring airway lumen, and assessing air trapped.

Benefits

  • Automatic lung and lobes segmentation,
  • Automatic airway extraction, airway tree segmentation and navigation path extraction, enabling the measurement of airway parameters such as lumen diameter and wall cross section.
  • Tools for qualitative and quantitative temporal comparison of up to four follow-up studies in order to determine the progression of the disease

Track lung disease

Workflow videos offer examples of a real life case based on the application you're currently using.

Quick Steps are printable instruction sheets based on specific procedures within the application.

Documents include printable white papers, articles, brochures, user manuals, etc. that provide valuable information about the application.

This section contains printable tutorials that provide complete instructions for individual applications.